Request Your Implant Consultation Today
What to Expect During Your Consultation
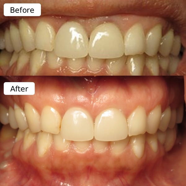
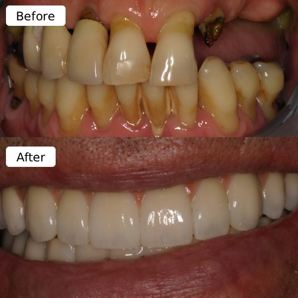
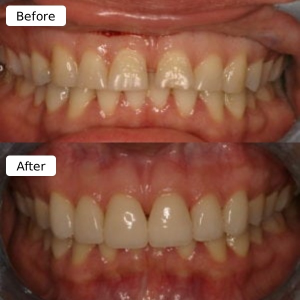
Implant consultations are centred on thorough surgical evaluation, bone structure analysis, and customised long-term treatment planning to ensure the best possible results for every patient.
Dental implant treatment requires precision, experience, and a long-term vision for oral health. Dr Robert Thein focuses exclusively on implant dentistry, helping patients achieve stable, natural-looking solutions for missing or failing teeth. Every consultation is designed to assess function, bone health, and long-term outcomes carefully—never quick fixes.
Dr. Robert Thein DDS, ABOI, ICOI, is a board-certified dental implant surgeon dedicated solely to implant surgery and restoration. By limiting his practice to implant care, he delivers a higher level of precision, consistency, and predictable results—especially in complex cases that require advanced expertise.
Dr Thein earned his Doctor of Dental Surgery degree from Boston University and completed advanced surgical training at the renowned Misch Implant Institute at the University of Pittsburgh. His expertise in full-mouth reconstruction and prosthodontics ensures that both surgical excellence and long-term functional success guide every treatment plan.
He is board-certified by the American Board of Implant Dentistry (ABOI), a distinction achieved by only a select group of implant specialists nationwide through rigorous training, proven clinical outcomes, and comprehensive examination.
What Patients Ask About Dental Implants
Dental implants are permanent tooth replacements made of titanium posts that are placed into the jawbone to support artificial teeth. They look, feel, and function like natural teeth.
The cost of dental implants in California typically ranges between $3,000 and $6,000 per tooth, depending on the complexity of the procedure and additional treatments required.
Most patients experience minimal discomfort during the procedure. With modern anaesthesia and advanced techniques, the process is safe and relatively pain-free.
One Saturday a month, he serves at the Kids’ Community Dental Clinic in Burbank.
Then, once a year he and his wife spend two or three weeks in December with the Burmese Medical and Dental Mission.
Frequently Asked Questions
Advanced Dental Implant Surgery is a modern procedure that uses cutting-edge technology to replace missing teeth with artificial implants. It offers higher precision, faster healing, and long-lasting results compared to traditional implant surgery.
Advanced Dental Implant Surgery uses digital imaging, 3D planning, and minimally invasive techniques, while traditional implant surgery relies on manual methods. This results in better accuracy, less pain, and quicker recovery.
Most healthy adults with missing teeth and sufficient jawbone density are suitable for implant surgery. Even patients with bone loss may qualify with procedures like bone grafting.
Implant surgery is usually performed under local anaesthesia or sedation, so patients experience minimal discomfort. Advanced techniques further reduce pain, swelling, and recovery time.
The procedure can take 1–2 hours per implant, depending on complexity. The full treatment process may take a few months for complete integration.
Initial recovery takes a few days, while complete healing may take 3–6 months. Advanced techniques often shorten recovery time.
The success rate is over 95% when performed by experienced professionals with proper aftercare.
Yes, implants are a long-term solution and can last for decades with proper care.
Risks are minimal but may include infection or swelling. Advanced techniques significantly reduce these risks.
The cost varies based on location, number of implants, and additional procedures. It offers better long-term value.
Implant Surgery & Restoration by Dr. Robert Thein, DDS, ABOI, ICOI
